A single dental implant looks, feels and works like a natural tooth. From ยฃ2,980 or just ยฃ248 per month at 0% finance.
Consultation ยฃ50 refundable deposit. 10 minutes from Chester.
Modern, calm and welcoming. Take a look inside the practice where Dr Valantine and the team provide expert implant care in Tarvin, Chester.
Every patient who completes their implant treatment at Tudor House Dental receives a complimentary full mouth hygiene appointment as part of their aftercare. A professional full mouth clean protects your implant, your existing teeth and your gums giving your new smile the best possible foundation from day one.






Answer 5 quick questions and we will call you to confirm your free slot with Dr Valantine.
Tudor House Dental uses Straumann implants, the most clinically documented implant system in the world. With over 70 years of innovation and more than 40 million implants placed globally, Straumann is the gold standard in implant dentistry.
Unlike dentures or bridges, a dental implant replaces the root itself. It bonds with your jawbone, preserves bone structure and lasts for decades with normal care.
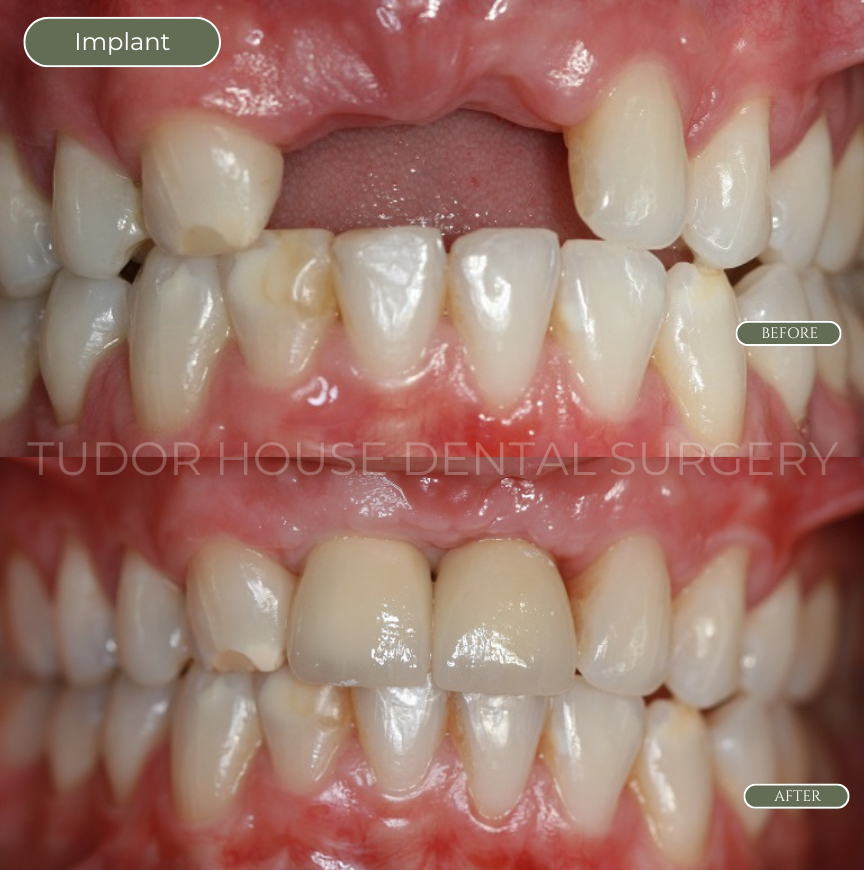
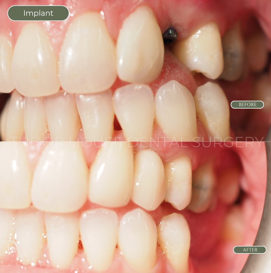
Real results from Tudor House Dental patients. Individual results may vary.
Before
After
Most patients are surprised how straightforward the process is.
Adjust the treatment amount and term to see exactly what you would pay. No hidden costs.
No hidden extras. Every price below includes everything needed for that stage of treatment.
All prices include VAT. Finance available on treatments from ยฃ1,500. Final prices are confirmed at consultation. We will never proceed without your written agreement on costs.
Whether you need one tooth or a full arch, we have an implant solution to suit you.
Dr Valantine is an experienced who has placed hundreds of dental implants since qualifying for a Masters in Implantology in 2010.
Known throughout Chester for her work on advanced and complex cases, Dr Valantine treats everything from single implants to more challenging procedures including bone grafting.
When you work with Dr Valantine, you receive thorough digital planning, precise implant placement, healing protocols focused on predictability and tailored finishing so your new teeth look natural, feel stable and suit your face.
GDC No. 100002
I recently moved to Tudor House and it is a very welcoming, professional but personable experience. The level of care I received was exemplary. All the staff I met during my appointments were fantastic. I know I will be in very capable hands for my ongoing treatment.
Having been a patient of the surgery for many years, I was very pleased to receive the same professional and friendly service from the new team. Tudor House continues to provide friendly, professional, safe and timely care. Would highly recommend this practice.
The whole team were so friendly and gentle on my first visit. They went above and beyond to make everybody feel calm and well looked after. The experience was completely painless and the treatment plan explained clearly with no surprises. I would not hesitate to recommend.
Based at 62 High Street, Tarvin CH3 8JB. Free parking on site, step-free access, easy to reach from Chester, Ellesmere Port, Mold and Deeside.
Answer a few quick questions and we will call you to confirm your free slot with Dr Valantine. Takes less than 2 minutes.
Your consultation with Dr Valantine includes a full clinical assessment, X-rays if required and a personalised treatment plan with transparent costs.